• info@saglikkatalogu.com
  • Üye Girişi
  • Üye Ol
  • Google+

Sağlık Kataloğu

  •  
  • Doktorlar

    DOKTORLAR

    • Tüm Doktorlar
    • Estetik Doktorlar
    • Dermatoloji Doktorlar
    • Kalp & Damar Doktorlar
    • Göz Doktorlar
    • KBB Doktorları

    DİYET & BESLENME

    • Tüm Beslenme Uzmanları
    • İstanbul Beslenme Uzmanları
    • Ankara Beslenme Uzmanları
    • Adana Beslenme Uzmanları
    • Antalya Beslenme Uzmanları
    • Bursa Beslenme Uzmanları

    DİŞ HEKİMLERİ

    • Tüm Diş Hekimleri
    • İstanbul Diş Hekimleri
    • Ankara Diş Hekimleri
    • Adana Diş Hekimleri
    • Antalya Diş Hekimleri
    • Bursa Diş Hekimleri
    Doktorlar
  • Kurumlar

    SAĞLIK MERKEZLERİ

    • Tüm Sağlık Merkezleri
    • Estetik Merkezleri
    • Saç Ekimi Merkezleri
    • Tüp Bebek Merkezleri
    • Kadın Sağlığı Merkezleri
    • Çocuk Sağlığı Merkezleri

    HASTANELER

    • Tüm Hastaneler
    • İstanbul Hastaneleri
    • Ankara Hastaneleri
    • Adana Hastaneleri
    • Antalya Hastaneleri
    • Bursa Hastaneleri

    AMBULANSLAR

    • Tüm Ambulanslar
    • İstanbul Ambulanslar
    • Ankara Ambulanslar
    • Adana Ambulanslar
    • Antalya Ambulanslar
    • Bursa Ambulanslar

    LABORATUVARLAR

    • Tüm Laboratuvarlar
    • İstanbul Laboratuvarlar
    • Ankara Laboratuvarlar
    • Adana Laboratuvarlar
    • Antalya Laboratuvarlar
    • Bursa Laboratuvarlar

    NÖBETÇİ ECZANELER

    • Tüm Nöbetçi Eczaneler
    • İstanbul Nöbetçi Eczaneler
    • Ankara Nöbetçi Eczaneler
    • Adana Nöbetçi Eczaneler
    • Antalya Nöbetçi Eczaneler
    • Bursa Nöbetçi Eczaneler
  • Hastalıklar

    HASTALIKLAR

    • Tüm Hastalıklar
    • Tüm Sağlık Konuları
    • Alzheimer
    • Böbrek Nakli
    • Göz Sağlığı
    • Guatr

    ESTETİK & GÜZELLİK

    • Estetik Rehberi
    • Burun Estetiği
    • Karın Estetiği
    • Yüz Estetiği
    • Vücut Estetiği
    • Cinsel Estetik

    VİDEO SAĞLIK

    • Tüm Videolar
    • Estetik Cerrahi
    • Kalp Hastalıkları
    • KBB Hastalıkları
    • Göz Hastalıkları
    • Üroloji

    AĞIZ & DİŞ SAĞLIĞI

    • Tüm Makaleler
    • Diş İmplantı
    • Diş Estetiği
    • Dolgu Tedavileri
    • Diş Beyazlatma
    • Yirmilik Dişler

    SAĞLIK HABERLERİ

    • Tüm Haberler
    • Genel Haberler
    • Estetik Haberleri
    • Göz Sağlığı
    • Ağız & Diş Sağlığı
    • Bulaşıcı Hastalıklar
  • Sağlık Turizmi

    ESTETİK TURİZMİ

    • Estetik Merkezleri
    • Tedavi Seçenekleri
    • İstanbuldaki Merkezler
    • Ankaradaki Merkezler
    • Diyarbakırdaki Merkezler
    • Yurtdışı Merkezler

    DİŞ ESTETİĞİ

    • Diş Sağlığı Merkezleri
    • Diş Tedavileri
    • İstanbuldaki Merkezler
    • Ankaradaki Merkezler
    • Diyarbakırdaki Merkezler
    • Yurtdışı Diş Sağlığı Merkezleri

    TERMAL TURİZM

    • Termal Tesisler
    • Hastalıklar
    • Genel Bilgilendirme
    Sağlık Turizmi
  • Sağlık Menu

    ALTERNATİF TIP

    • Şifalı Bitkiler
    • Akupunktur
    • Ozon Tedavisi
    • Önleyici Testler

    TIP SÖZLÜĞÜ

    • Genel Tıp Sözlüğü
    • Tıp Sözlüğü ( A )
    • Tıp Sözlüğü ( B )
    • Tıp Sözlüğü ( C-Ç )
    • Tıp Sözlüğü ( D )
    • Tıp Sözlüğü ( E )

    İLAÇ REHBERİ

    • İlaç Bilgileri
    • İlaç Firmaları

    UYGULAMALAR

    • İdeal Kilo Hesaplama
    • Vücut Yağ Oranı Hesaplama
    • Kalça & Bel Oranı
    • Günlük Kalori Hesaplama
    • Vücut Kitle İndeksi
    • Tahmini Doğum Tarihi

    EVCİL HAYVAN SAĞLIĞI

    • Veteriner Klinikleri
    • Veteriner Hekimler
    • Hayvan Hastalıkları
    • Sıkça Sorulan Sorular
  • İletişim

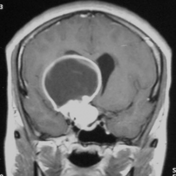
Astrositom

  • Anasayfa
  • Hastalıklar
  • Astrositom
176

Astrositom

  • Hastalıklar
  • 35

Genel Menüler
  • Doktorlar
  • Hastaneler
  • Nöbetçi Eczaneler
  • Sağlık Haberleri
  • İletişim
Etiketler
  • Afrika Hummasının Nedenleri
  • Aft Hastalığı Tedavisi
  • Ağız yaraları
  • Çocuklarda Apse Ameliyatı
  • Hangi hastalarda akciğer aksesi görülür?
  • Apsenin Teşhis ve Tedavisi
  • Çocuklarda Apse
  • Epispadias
  • Aids ve cinsel ilişki
  • Aids ilaçları
  • Akciğer Apsesi Teşhisi
  • Panik Bozukluk
  • Yetişkinlerde Akciğer Apsesi Ameliyatı
  • Aids testi sonuçları
  • Akciğer Apseleri
  • Adet Görme
  • Akciğer Apsesi Ameliyatı
  • Aids tedavisi
  • Aft
  • Aids tedavisinde kullanılan ilaçlar
  • Senkop
  • Aybaşı
  • Aids aşısı nedir?
  • Akciğer Apsesi
  • Kan yolu ile bulaşan aids
  • Adale Romatizması Tedavisi
  • Aşı ile aids tedavisi
  • Ağızda yara
  • Abo Kan Uyuşmazlığı
  • Yetişkimlerde Apse
  • Akciğer Apsesi Ameliyatı
  • Akciğer Apsesi Tedavisi
  • Aids tedavisi
  • Aids nasıl bulaşır?
  • Adult Epispadias
  • Aft hastalığı nedir?
  • Aort Anevrizması Doktorları
  • Apse
  • Adrenal Bez Nedir?
  • Anevrizma
  • Addison Hastalığı Nedir?
  • Apse kimlerde görülür?
  • Adet Kanaması
  • Humma Tedavisi
  • Adams Stokes Sendromu
  • Akciğer Apsesi
  • Apse
  • Adet Kanaması
  • Adult Hipospadias Ve Epispadias
  • Panik atak

Sağlık Kataloğu
  • Anasayfa
  • Hakkımızda
  • Üyelik
  • İletişim
  • Site Haritası
Sayfalar
  • Doktorlar
  • Hastaneler
  • Sağlık Merkezleri
  • Sağlık Turizmi
  • Sağlık Haberleri
  • Hayvan Sağlığı
Bizi Takip Edin
Bültene Katılın

Sitemizdeki değişiklilerden, yeni doktor ve makalelerden haberdar olmak için bültene katılabilirsiniz.

İletişim
  • info@saglikkatalogu.com
  • saglikkatalogu
  • İSTANBUL
  • RSS Servisi

Dikkat!

Bu web sitesinin temel amacı sağlık alanında kamuoyunun daha iyi bilgilenmesini sağlamaktır. saglikkatalogu.com ticari bir hizmet olmamakla birlikte herhangi bir Sağlık Hizmeti Sağlayıcısını da tavsiye etmemekte ve desteklememektedir. Sitemiz kesinlikle doktorunuzun yerini almayı hedeflememektedir. Sitemizde bulunan bilgiler, tavsiye niteliğinde olup, reçete ya da tedavi yöntemlerinizi değiştirmeye yönelik değildir. Bilgilerin yanlış anlaşılmasından ve buna bağlı olarak doğabilecek mağduriyetten sitemiz yasal sorumluluk altında tutulamaz. Sağlık sorunlarınız ile ilgili mutlaka bir doktora yada sağlık merkezine görünmeniz gerekmektedir. Bu sitede verilen bilgilerin kullanılmasının sorumluluğu tümüyle kullanıcıya aittir.


  • Facebookta Bizi Takip Edin
  • Twitter Sayfamız
  • Google+ Sayfamız
  • Youtube Sayfamız
  • Instagram Sayfamız
  • Sağlık Kataloğu

Copyright © 2009-2019 saglikkatalogu.com. Tüm hakları saklıdır..