Bagassosis Nedir?

Uzun süreden beri balyalanmış ve depo edilmiş olan şeker kamışından çıkan tozlardan ileri geçen bir akciğer hastalığıdır. Küflü tozlardan gelen alerjik bir hastalık da olabilir.
«Byssinosis» nedir ?
Yilmi yıl ve daha uzun süreler solunum yoluyla pamuk tozunun vücuda getirmesiyle meydana gelen bir hastalıktır. Alerjik bir durum olduğu zannedilmektedir ve belirtileri, bronşitte de olduğu gibi öksürme ve balgam çıkarmadır.
Silikoz önlenebilinir mi ?
Evet, sıhhî çalışma yeri şartları temin etmekle maske ve vakum püskürtücüleri gibi korunma cihazları kullanılmasıyla önlenebilir.
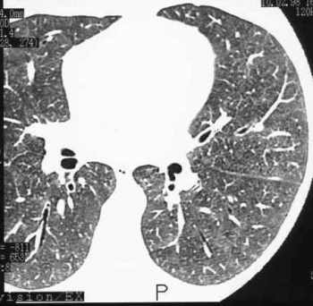
Silikoz teşhisi nasıl yapılır ?
Söz konusu hastanın geçmiş hal durumu incelenir, çalıştığı yerdeki toz numuneleri gözden geçirilir ve röntgen filmlerinde ciğerde görünen karaktetistik görüntüler dikkate alınır.
Silikozun belirtileri nelerdir ?
Akciğer dokularında devamlı yayılma gösteren bir hasar yapar. Bu, zamanla akciğerlerin iltihaplanmasına yol açar. Çok kez bu hastalığın oluşturduğu zemine verem mikrobu da eklenebilir. Hafiften nefes tıkanıklığı, kronik öksürük ve akciğerin iyi işlememesi bu hastalığın başlıca belirtileri arasındadır. Ciddî vakalarda işçi uzun zaman işinden uzaklaşmak zorunluğunda kalabilir.
Tozdan ileri gelen en ağır hastalık hangisidir ?
Silikoz. Bu hastalık taşkömürü işletmelerinde, altın ve kurşun madenlerinde çalışanlarda, taş kesiminde ve toprak patlamalarında ve bazı yıprandırıcı madde yapımında çalışanlarda çoğunlukla rastlanır.
Bu tahriş edici maddelerle ne kadar süre temastan sonra silikoz kendisini göstermeye başlar?
En az iki yıl.
En zararlı olan tozlar hangileridir ?
Silis (kuvars), asbestos, talk, şeker kamışı, pamuk fili ve berilyum (fluoresan lâmbalardan gelen tozlar) en zararlı olan tozlardır.
Kömür tozu akciğerlere nasıl tesir eder ?
Kömür madenlerinde çalışanların, hattâ büyük kentlerde yaşayanların bile, akciğerleri kömür tozu tortularından siyahlaşmaya meyil gösterse de, bu durum herhangi bir belirtiye neden olmamaktadır.
En az zararlı tozlar hangileridir ?
Demir kaynağı yapılırken çıkan tozlar, adî topraktan kalkan tozlar ve kömür madeni işletmeciliğinde meydana gelen kömür tozları.
Toza maruz kalmak daima akciğer rahatsızlıklarına yol açar mı ?
Hayır. Uzun zamanlar birçok çeşit toz ve buharlar teneffüs edilse de bunların muhakkak surette bir akciğer hastalığına sebep olacağı söylenemez.
Asbestos liflerinin solunum yoluyle vücuda girmesi ne gibi zararlar meydana getirebilir ?
Birka,ç yıl süreyle, büyük çapta asbestos liflerinin nefes alma yoluyle vücuda girmesinin akciğer kanserine yol açtığı tesbit edilmiştir.
Çiftçi ciğeri ne demektir ?
Küflenmiş saman veya kuru ot tozlarının, çiftçilerin solunum yoluyla akciğerlerine girmesinden meydana gelen akut bir akciğer hastalığıdır.
Silo işçisi hastalığı nedir ?
Silolarda niyojenli (azot) gazların bazı çiftçilerin solunum yoluyla akciğerlerine girmesinden meydana gelen bir hastalıktır.
